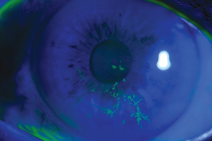
Herpes zoster ophthalmicus recurrence: risk factors and long-term clinical outcomes
DAR Scott, et al
Am J Ophthalmol. 2024 Jun 22;268:1-9
Review: This paper is the largest study looking at herpes zoster ophthalmicus (HZO) recurrence. The authors reviewed 869 patients with HZO treated at Auckland’s Greenlane Eye Clinic between 2006 and 2016 and found at least one recurrence of ocular inflammation in 200 subjects (23%) during a median follow up of 6.3 years. The median time from HZO onset to first recurrence was 3.5 months. Uveitis was the most common form of recurrence, followed by keratouveitis and keratitis. In subjects who required topical steroid treatment, the median time to recurrence was 1.4 months following steroid cessation.
Significant risk factors for recurrence include immunosuppression, higher presenting IOP, corneal involvement, and uveitis. Moderate vision loss (6/15 or worse) at final follow-up occurred in 19.6% of patients. There was a significant association between a greater number of recurrences and poorer final vision.
Comment: HZO is one of the most common acute eye conditions treated in eye emergency clinics. Recurrent ocular inflammation can lead to vision threatening complications such as neurotrophic keratopathy, glaucoma and optic neuropathy. This study highlights those patients at greater risk of recurrence so that measures can be taken to prevent poor visual outcomes. A longer taper of steroid may be required for higher-risk patients, such as immunosuppressed individuals and those with hypertensive kerato-uveitis. The general practice pattern at Greenlane Eye Clinic is a three-month gradual taper of topical steroids, along with monitoring for recurrence on steroid cessation.
Malignancy risk associated with the use of systemic immunomodulatory therapy in the management of noninfectious uveitis
GN Papaliodis et al
Am J Ophthalmol. 2024 Apr 26;265:241-247
Review: This US nationwide retrospective cohort study from Massachusetts evaluated the risk of developing malignancy in patients treated with systemic immunomodulatory therapy (IMT) for noninfectious uveitis (NIU). The incidence rate of malignancy was compared between NIU patients who were treated with IMT and those who were not. All cancer types were included, except non-melanoma skin cancer. In the 15-year enrollment period, 492 of the 318,498 (0.15%) NIU patients on IMT developed malignancies. The NIU patients who did develop malignancy were treated with either systemic corticosteroids, antimetabolites, T-cell inhibitors, TNA-alpha inhibitors, IL-6 inhibitors, or CD-20 antibodies. No patient on alkylating agents developed secondary malignancy. In addition, multi-variable Cox regression analysis did not identify any association with the incidence of malignancy with any of the drug classes.
Comment: This is the largest study to date to evaluate the incidence of malignancy in patients on a variety of IMT drug classes for non-infectious uveitis. While previous studies with smaller sample sizes did show a similar finding, the lack of power made it difficult to draw strong conclusions. The results reassure both the treating clinician and the patient starting on IMT for uveitis that the therapy does not significantly increase the risk of secondary malignancy development.
Preserflo Microshunt implant for the treatment of refractory uveitic glaucoma: 36-month outcomes
G Triolo et al
Eye (Lond). 2023 Aug;37(12):2535-2541
Review: This paper from Moorfields is the first to report 36-month outcomes of Preserflo Microshunt in uveitic glaucoma. Twenty-one eyes with refractory uveitic glaucoma on maximal tolerated medical therapy were included. The overall cumulative success rate was 47% over three years. The overall mean IOP decreased by 30% (from 26.0±9.0mmHg at baseline to 15.2±5.4mmHg at final follow-up), and the number of IOP-lowering medications dropped by an average of 3.8 medications (from 4.1±0.9 at baseline to 0.9±1.2 at three years). Twelve of the 21 eyes (57.1%) required revision of the Preserflo or additional glaucoma surgery. There were no cases of sight-threatening complications, such as loss of vision, hypotony with sequelae or bleb-related ocular infections. Non-White ethnicity was a significant risk factor for failure.
Comment: Preserflo Microshunt is a bleb-forming glaucoma filtering device that is gaining popularity in New Zealand. It is less invasive, provides faster visual recovery and requires less intensive follow-up compared to traditional trabeculectomy. This is a promising treatment in uveitic patients in whom post-op hypotony and inflammation are major risks, and very low IOPs are usually not required. This case series demonstrates the device’s success and safety in this patient group, but also highlights the lower success rate in non-White ethnicities and the frequent need for revision due to subconjunctival fibrosis or shunt blockage. More experience and data of its use in uveitic glaucoma will be useful to inform glaucoma surgeons managing these difficult cases.

Drs Lucy Lu and Joseph Kam are the current senior uveitis fellows at Greenlane Eye Clinic, supervised by Drs Jo Sims and Rachael Niederer. Dr Lu is an Auckland-based RANZCO trainee in her final year and Dr Kam is from McGill University, Montreal, Canada.