Retinal detachment risks compared
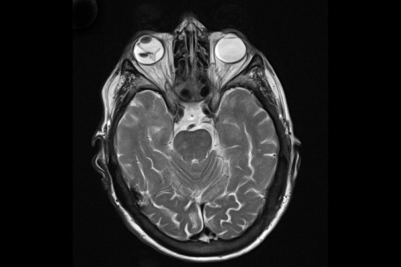
MRI showing retinal detachment. Credit: International Emergency Medicine Education Project

Retinal detachment risks compared

April 19, 2025 Staff reporters

European researchers found the incidence of retinal detachment (RD) after refractive lens exchange (RLE) was approximately double that observed after cataract surgery with at least 24 months follow-up.

 

Writing in the British Journal of Ophthalmology, authors from Italy, Turkey and Germany said RLE is becoming a popular refractive solution for patients ineligible for corneal surgeries or phakic intraocular lenses, but concerns regarding RD risk persist. Their systematic literature review and meta-analysis of 40 studies included almost 8.6 million eyes and showed RD may be classified as a rare complication (1/1,000) after cataract surgery and an uncommon complication (1/500) after RLE. “While some limitations, such as the lack of long-term follow-up in certain studies and incomplete reporting of factors like axial length or posterior vitreous detachment status, may slightly influence the interpretation, these findings provide valuable insights,” said authors.